TRAUMATOLOGIA

Per frattura si intende la condizione patologica in cui viene a crearsi una soluzione di continuità di un osso (ossia quando “l’osso si rompe”).
Le fratture possono essere causate da traumi (incidenti stradali, incidenti sportivi, cadute a terra, ecc.) o essere spontanee in conseguenza di malattie più o meno gravi (fratture patologiche). Traumi a bassa energia possono causare fratture qualora le condizioni e la qualità dell’osso non siano ottimali per svariate patologie la più comune delle quali è l’osteoporosi.
Perché una frattura guarisca sono necessarie una buona stabilità e una adeguata vascolarizzazione. La stabilità dei monconi fratturativi è garantita sia dal tipo di frattura stesso, sia dai metodi di contenzione esterni o interni.

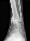
Se in una frattura i due monconi ossei non si spostano e mantengono, quindi, l’asse anatomico originale, si parla di frattura composta. Solitamente le fratture composte hanno una adeguata stabilità intrinseca che ne garantisce una buona guarigione; esse verranno trattate, pertanto, conservativamente, ovvero con un semplice gesso o tutore esterno.
Nel caso in cui la frattura determina lo spostamento dei due (o più) frammenti ossei, si parla di frattura scomposta. In questo caso si renderà necessaria una manovra di riduzione che ristabilire i corretti rapporti anatomici.

La manovra riduttiva, applicando una trazione manuale sul segmento fratturato, permetterà il corretto allineamento dell’osso. Se tale manovra non risulta efficace o qualora la frattura risulta instabile nonostante l’immobilizzazione con gessi o tutori, si renderà necessario un intervento chirurgico per riallineare la frattura e renderla stabile.
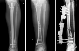
Osteosintesi
Questo tipo di fratture che, quindi, necessitano di una fissazione chirurgica verranno rese stabili da mezzi di sintesi diversi; si parla in questo caso di osteosintesi.
Durante l’intervento di osteosintesi i frammenti ossei vengono riallineati con appositi strumentari e vengono fissati con fili metallici, viti, placche, chiodi, fissatori esterni, ecc.

Ognuno di essi presenta specifiche peculiarità che ne determinano vantaggi e svantaggi. La scelta del mezzo di sintesi viene fatta dal Chirurgo in base a molteplici considerazioni (tipo di frattura, condizioni del paziente, qualità dell’osso). La maggior parte dei mezzi di sintesi è costituita da leghe metalliche, generalmente il titanio, che sono perfettamente biocompatibili. Essi possono, pertanto, rimanere in situ senza creare particolari problemi. Nei pazienti giovani o nel caso in cui i mezzi di sintesi diano fastidio perché troppo superficiali o perché determinano limitazione del movimento, si tende a rimuoverli dopo un tempo adeguato dalla guarigione (in genere dopo circa 18-24 mesi dalla frattura).

Le fratture richiedono un tempo compreso tra diverse settimane e alcuni mesi per guarire definitivamente e anche se il sintomo dolore è del tutto sparito, il callo osseo spesso non è sufficientemente solido da permettere le sollecitazioni meccaniche delle normali attività.
Per questo motivo potrebbe essere necessario continuare a limitare il carico o le attività fisico-sportive fino alla completa guarigione radiografica.
Nuovi strumentari e tecniche chirurgiche permettono l’osteosintesi mininvasiva che ha il grande vantaggio di limitare al massimo l’esposizione chirurgica e quindi accelerare la ripresa funzionale.

Nei postumi di una frattura, sia trattata chirurgicamente che conservativamente, è fondamentale rieducare in maniera attenta e meticolosa le strutture vicine (articolazioni e strutture muscolotendinee e vascolari) che a causa del trauma stesso, dell’immobilità o dell’accesso chirurgico, vengono coinvolte provocando dolori, rigidità, perdita di massa muscolare e problemi vascolari.
Esercizi specifici aiuteranno a ripristinare la normale forza muscolare, la mobilità articolare e la flessibilità.
Pseudoartrosi

Quando una frattura non guarisce si parla di pseudoartrosi. Si definisce così perché la frattura, non guarendo, rende mobile (a volte senza dolore) il segmento formando una nuova articolazione. Le pseudoartrosi possono essere atrofiche, con scarse potenzialità biologiche, o ipertrofiche in cui la sola stabilizzazione del sito di frattura porta a guarigione l’osso.
Condizioni patologiche o stili di vita che aumentano il rischio di pseudoartrosi sono costituite dal fumo di sigaretta, dal diabete, da infezioni o gravi traumi che determinano la necrosi dei tessuti molli adiacenti all’osso (muscoli, fasce, tendini). Il trattamento di una pseudoartrosi prevede interventi complessi, utilizzando tecnologie avanzate sia per quanto riguarda gli strumentari e i presidi chirurgici sia nel campo della bioingegneria e della medicina rigenerativa (cellule staminali, biostimolatori/modulatori, ecc.).
